These frog anatomy microscope prepared slides were captured using a compound student microscope. The frog part prepared slides are included in the Frog Prepared Microscope Slide Kit. You can view all prepared microscope kits here.
Frog Intestine
This frog intestine prepared slide was captured under the microscope at 40x magnification.
Frog Kidney
This frog kidney prepared slide was captured under the microscope at 40x magnification.
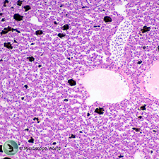
Frog Liver
This frog liver prepared slide was captured under the microscope at 100x magnification.
Frog Lung
This frog lung prepared slide was captured under the microscope at 100x magnification.
Frog Skin
This frog skin prepared slide was captured under the microscope at 100x magnification.
All of the prepared slides shown above are available for purchase in the Frog Prepared Slide Kit.



